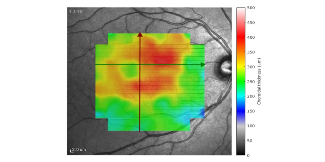
A catalogue that aims to list medical technologies with a high potential of transferability to the market nominated seven INESC TEC innovations: EchoCAD – Carotid, Choroidal Thickness App, Accurate-BV, Breast Cancer Conservative Treatment. Cosmetic Results (BCCT. core), Microwave imaging impedance matching surface, NeuroKinect and BB-Spectral.
The publication – under the MDevNet project by Fraunhofer Portugal – features 26 technologies and INESC TEC is one of the institutions with the highest number of references, thus demonstrating the institute’s increasing activity in the field of medical technology.
This catalogue is the outcome of a prospecting exercise focused on the results of technology R&D concerning technology-based medical devices, developed among entities in the national R&I system, and with high valorisation and transferability potential.
The catalogue was preceded by a workshop held a year ago, at Fraunhofer Portugal, in which several INESC TEC researchers participated – supported by the Technology Licensing Office (SAL); the workshop focused on improving the communication of the companies’ technology value propositions, their position in the market and the segmentation of customers and users.
 
	    	 
		    

 News, current topics, curiosities and so much more about INESC TEC and its community!
News, current topics, curiosities and so much more about INESC TEC and its community!
